84さい母 血痰



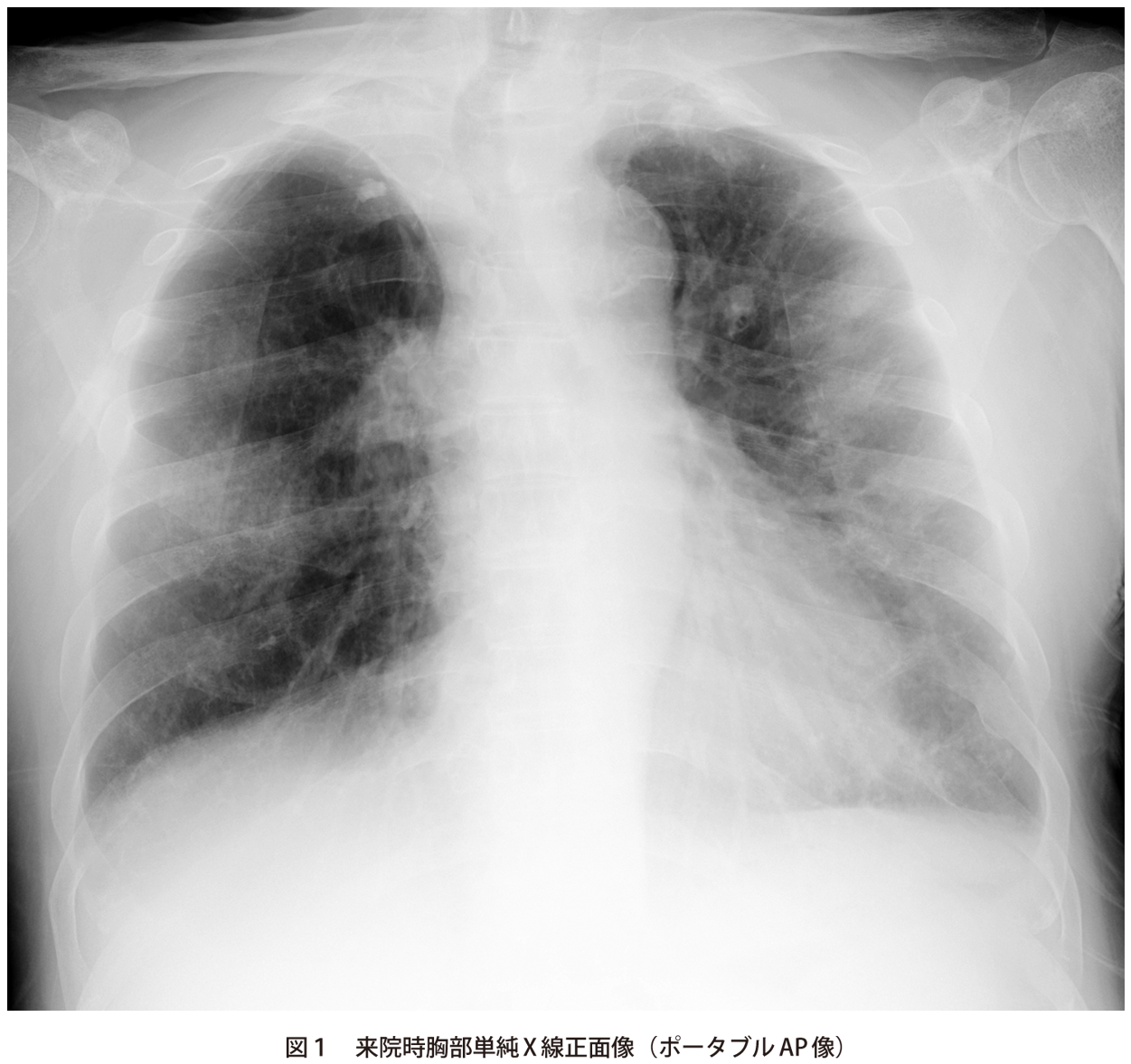
問題 血痰 喘鳴 呼吸困難で搬送された80歳代男性 実践 画像診断q A 羊土社 レジデントノート 実践 画像診断q A 羊土社 レジデントノート 羊土社

問題 血痰 喘鳴 呼吸困難で搬送された80歳代男性 実践 画像診断q A 羊土社 レジデントノート 実践 画像診断q A 羊土社 レジデントノート 羊土社

イップス に対する漢方医学 漢方薬の効果 経験 症例

イップス に対する漢方医学 漢方薬の効果 経験 症例

高齢者が気をつけたい 心臓病とは 種類別に原因 症状 予防法を解説 みんなの介護

高齢者が気をつけたい 心臓病とは 種類別に原因 症状 予防法を解説 みんなの介護

イップス に対する漢方医学 漢方薬の効果 経験 症例

イップス に対する漢方医学 漢方薬の効果 経験 症例

Https Www J Breath Jp Dcms Media Other J Breath E9 80 A3 E8 Bc 89 E8 Ac 9b E5 Ba A7 E3 80 8c E7 A7 81 E3 81 8c E8 A8 Ba E3 81 A6 E3 81 8d E3 81 9f E4 Ba Ba E3 81 9f E3 81 A1 E3 80 8d E5 85 A810 E5 9b 9e E7 B5 B1 E5 90 88 E7 89 88 20 285 29 Pdf

Https Www J Breath Jp Dcms Media Other J Breath E9 80 A3 E8 Bc 89 E8 Ac 9b E5 Ba A7 E3 80 8c E7 A7 81 E3 81 8c E8 A8 Ba E3 81 A6 E3 81 8d E3 81 9f E4 Ba Ba E3 81 9f E3 81 A1 E3 80 8d E5 85 A810 E5 9b 9e E7 B5 B1 E5 90 88 E7 89 88 20 285 29 Pdf

土曜日検診のブログ書く前に 発熱 血痰 だから 大 好きだってば

土曜日検診のブログ書く前に 発熱 血痰 だから 大 好きだってば

土曜日検診のブログ書く前に 発熱 血痰 だから 大 好きだってば

血痰事件 実は休みたかったんだ 待望の1姫2太郎3チビ姫ナースなママ

血痰事件 実は休みたかったんだ 待望の1姫2太郎3チビ姫ナースなママ

90歳代男性 血痰 日経メディカル

90歳代男性 血痰 日経メディカル

イップス に対する漢方医学 漢方薬の効果 経験 症例

イップス に対する漢方医学 漢方薬の効果 経験 症例

イップス に対する漢方医学 漢方薬の効果 経験 症例

イップス に対する漢方医学 漢方薬の効果 経験 症例

漢方香港堂の間質性肺炎の本格漢方相談 諸症状の改善

漢方香港堂の間質性肺炎の本格漢方相談 諸症状の改善

漢方香港堂の間質性肺炎の本格漢方相談 諸症状の改善

漢方香港堂の間質性肺炎の本格漢方相談 諸症状の改善

イップス に対する漢方医学 漢方薬の効果 経験 症例

イップス に対する漢方医学 漢方薬の効果 経験 症例

漢方香港堂の間質性肺炎の本格漢方相談 諸症状の改善

漢方香港堂の間質性肺炎の本格漢方相談 諸症状の改善

Https Www J Breath Jp Dcms Media Other J Breath E9 80 A3 E8 Bc 89 E8 Ac 9b E5 Ba A7 E3 80 8c E7 A7 81 E3 81 8c E8 A8 Ba E3 81 A6 E3 81 8d E3 81 9f E4 Ba Ba E3 81 9f E3 81 A1 E3 80 8d E5 85 A810 E5 9b 9e E7 B5 B1 E5 90 88 E7 89 88 20 285 29 Pdf

Https Www J Breath Jp Dcms Media Other J Breath E9 80 A3 E8 Bc 89 E8 Ac 9b E5 Ba A7 E3 80 8c E7 A7 81 E3 81 8c E8 A8 Ba E3 81 A6 E3 81 8d E3 81 9f E4 Ba Ba E3 81 9f E3 81 A1 E3 80 8d E5 85 A810 E5 9b 9e E7 B5 B1 E5 90 88 E7 89 88 20 285 29 Pdf

イップス に対する漢方医学 漢方薬の効果 経験 症例

イップス に対する漢方医学 漢方薬の効果 経験 症例

漢方香港堂の間質性肺炎の本格漢方相談 諸症状の改善

漢方香港堂の間質性肺炎の本格漢方相談 諸症状の改善

イップス に対する漢方医学 漢方薬の効果 経験 症例

イップス に対する漢方医学 漢方薬の効果 経験 症例

Https Www Mhlw Go Jp Stf Shingi 2r9852000000n6tv Att 2r9852000000n7in Pdf

Https Www Mhlw Go Jp Stf Shingi 2r9852000000n6tv Att 2r9852000000n7in Pdf

第8回 高齢者の肺炎 知っておきたい高齢者の病気 老人ホーム選びのパートナー ベネッセの介護相談室

第8回 高齢者の肺炎 知っておきたい高齢者の病気 老人ホーム選びのパートナー ベネッセの介護相談室

肺がん がんの知識 愛知県がんセンター

肺がん がんの知識 愛知県がんセンター

Http File Bmshealthcare Jp Bmshealthcare Pdf Guide Guide Mela Opyv1910 Pdf

Http File Bmshealthcare Jp Bmshealthcare Pdf Guide Guide Mela Opyv1910 Pdf

専門家が回答 父が認知症かも 病院に行ってもらうにはどうしたらいい 老人ホームのq A集 Lifull介護 旧home S介護

専門家が回答 父が認知症かも 病院に行ってもらうにはどうしたらいい 老人ホームのq A集 Lifull介護 旧home S介護

Https Www J Breath Jp Dcms Media Other J Breath E9 80 A3 E8 Bc 89 E8 Ac 9b E5 Ba A7 E3 80 8c E7 A7 81 E3 81 8c E8 A8 Ba E3 81 A6 E3 81 8d E3 81 9f E4 Ba Ba E3 81 9f E3 81 A1 E3 80 8d E5 85 A810 E5 9b 9e E7 B5 B1 E5 90 88 E7 89 88 20 285 29 Pdf

Https Www J Breath Jp Dcms Media Other J Breath E9 80 A3 E8 Bc 89 E8 Ac 9b E5 Ba A7 E3 80 8c E7 A7 81 E3 81 8c E8 A8 Ba E3 81 A6 E3 81 8d E3 81 9f E4 Ba Ba E3 81 9f E3 81 A1 E3 80 8d E5 85 A810 E5 9b 9e E7 B5 B1 E5 90 88 E7 89 88 20 285 29 Pdf

Source : pinterest.com